Варианты, как идут месячные после стимуляции клостилбегитом Проблемы с зачатием часто вынуждают гинеколога проводить стимуляцию…
Рубрика “Гинеколог”
Категория: Гинеколог
Геморройные шишки после родов admin · Ноябрь 17, 2019 Итак, шишка от геморроя после родов…
Операция по ушиванию шейки матки сохранит беременность статьи: Шейка матки в то время, когда происходит…
Что нельзя и что делать после прижигания эрозии шейки матки? Эрозия шейки матки считается одним…
ДИКЛОВИТ — диклофенак натрия (diclofenac) Форма выпуска, состав и упаковка Суппозитории ректальные белого или белого…
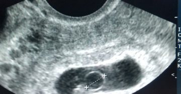
Плодное яйцо Если врач во время ультразвукового исследования сообщает, что видит в полости матки плодное…
Беременность при месячных: бывают ли менструации на ранних сроках, как их отличить от обычных Женщин…
Мазок на онкоцитологию – что это, когда сдавать, расшифровка Согласно данным статистики раку шейки матки…
Препарат «Постинор» для прерывания беременности на ранних сроках По статистике каждая третья беременность на нашей…
Сохранение беременности: что можно сделать для этого Итак, произошел долгожданный момент – вы планировали беременность…










