Можно ли принимать Супрастин от аллергии при беременности? У беременных женщин существенно повышается чувствительность организма,…
Рубрика “Гинеколог”
Категория: Гинеколог
Дюфастон при планировании беременности — в каких случаях назначают и для чего Доброго дня, мои дорогие…
Предлежание хориона Хорион, или ворсинчатая оболочка – это наружная оболочка зародыша, покрытая многочисленными ворсинками, врастающими…
Беременность после выкидыша на дюфастоне Замершая беременность – фобия будущих мамочек, по рейтингу уступающая пожалуй-что…
Нормы толщины эндометрии в соответствии с днем менструального цикла Главный детородный орган, матка, выстлан функциональным…
Беременность при приеме противозачаточных таблеток: причины и симптомы Беременность во время приема противозачаточных практически исключена,…
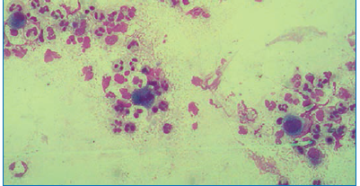
Результаты цитологического исследования молочной железы: что означают макрофаги? Мастопатия, рак груди являются достаточно распространенными заболеваниями….
Обязательно ли хирургическое вмешательство при гипертрофии малых половых губ Рассказать Подписаться ? Следите за обновлениями…
Температура 37˚ перед месячными: почему повышается и способы ее определения Все признаки индивидуальны, но необходимо…
Девственная плева: мифы и реальность. Может ли девственница забеременеть. Как восстановить девственность с помощью хирургов…










