Вич инфекция и кандидоза Кандидоз — это одна из грибковых инфекций, вызванная грибком рода Candida….
Рубрика “Гастроэнтеролог”
Категория: Гастроэнтеролог
Бактерия хеликобактер пилори и высыпания на коже: есть ли взаимосвязь Проявления инфекции в этом случае…
Обязательно ли удаление желчного пузыря в случае образования камней Болезнь желчевыводящих путей – это распространенная патология…
Причины и лечение изжоги в горле Изжога — дискомфорт и жжение в пищеводе, что поднимается…
Слизь из заднего прохода причины, лечение выделения из анальности Есть множество факторов, почему появляется слизь…
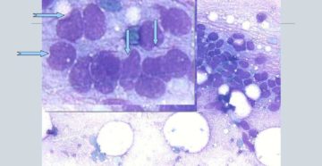
Цитологические исследования Цитология — наука, изучающая общие черты строения и функционирования клеток и их производных….
Вздутие живота и боли слева в подреберье Болью в животе организм человека может сигнализировать о нарушениях…
Худая женщина с большим животом: как ей избавиться от проблемы — Водоворот полезностей Причины большого…
Почему после употребления рыбы тошнит? Тошнота является весьма неприятной реакцией организма на разнообразные запахи или…










