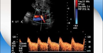
Нарушение кровотока при беременности — симптомы, лечение Нарушение кровотока при беременности встречается часто на разных…
Рубрика “Гинеколог”
Категория: Гинеколог
Таблетки для хорошей эрекции, совместимые с алкоголем 53007 Романтический вечер предусматривает секс как апогей «общения»…
Как перегородка в матке влияет на зачатие Часто женщины с подобным диагнозом имеют прогноз невынашивания…
В чем риски для ребенка при беременности нарушения маточно-плацентарного кровотока 1-а, 1-б, 2 или 3…
Процедура снятия швов с шейки матки статьи: По статистическим данным, практически 40% выкидышей происходит по…
Можно ли использовать гель-лубрикант при планировании беременности для зачатия: влияет ли его использование на зачатие…
Беременность с одной трубой: возможна ли? Забеременеть с одной трубой или вовсе без фаллопиевых каналов…
Кровянистые, коричневые и мажущие выделения при приеме противозачаточных таблеток Оральные контрацептивы содержат гормоны, которые участвуют…
Основные причины болей в мочевом пузыре при беременности То, что во время беременности в организме…
Рекомендации после выскабливания матки — Здоровье человека, симптомы и лечение заболеваний Период после выскабливания полости…










