Эндометриоидная киста яичника — причины возникновения, методы лечения, симптомы Want create site? Find Free WordPress…
Рубрика “Гинеколог”
Категория: Гинеколог
34 неделя беременности У вас 34 акушерская неделя беременности, и к этому сроку вы научились…
3 неделя беременности — что происходит, развитие ребенка, ощущения в животе, рекомендации по питанию 3…
Комбинированные препараты для ЗГТ страницы: Таблица аналогов и цен Фемостон 1/10, 2/10, 1/5 — официальная…
Регулон или Линдинет 20: что лучше, чем отличаются препараты, как перейти с одного на другой…
Можно ли пить протеин при беременности Все о необходимости приема белка во время беременности. Сколько…
Что такое жидкостная цитология — Гинекология 02.08.2019 Новые подходы к клиническим исследованиям гинекологических болезней, жидкостная…
МИЛЬГАММА: инструкция, отзывы, аналоги, цена в аптеках В состав поливитаминного комплекса Мильгамма входят нейротропные витамины…
Киста на правом яичнике у женщин: симптомы и лечение образования Киста правого яичника является доброкачественной…
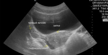
Беременность и гидросальпинкс: возможно ли зачатие? Желание иметь ребенка – нормальное для каждой женщины. Многие…










