Можно ли забеременеть если засунуть сперму пальцем Итак, можно ли забеременеть от пальца руки, если…
Рубрика “Гинеколог”
Категория: Гинеколог
Овуляция и Беременность после выкидыша (Статистика!) Первая овуляция и беременность после выкидыша (и чистки) может наступить…
Когда слышно сердцебиение плода на УЗИ В большинстве случаев женщина с 90% точностью может определить,…
Можно ли пить алкоголь при приеме противозачаточных таблеток? Противозачаточные таблетки – это гормональные контрацептивы, которые…
В соцсетях активно обсуждают паблик #насилие_в_родах, который начался в сети ВКонтакте. Паблик этот создан по…
Киста бартолиновой железы Киста бартолиновой железы (бартолинит, абсцесс бартолиновой железы) Программа “Доктор И” – Киста…
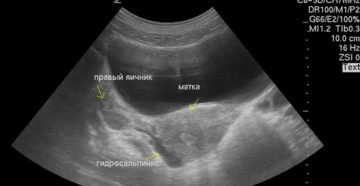
Беременность при гидросальпинксе: можно или нет Можно ли забеременеть при Гидросальпинксе? Подобный вопрос беспокоит абсолютно…
Можно ли забеременеть на 10 день цикла и в другие дни МЦ: 5, 7, 8,…
Как протекает цервицит при беременности и можно ли забеременеть при наличии воспаления Каждая женщина, прежде…
Урогенитальные инфекции и заболевания Урогенитальными инфекциями или инфекциями мочевыводящих путей принято обозначать группу бактериальных, грибковых…










